
Nel 1991, Herbert Weinstein uccise la moglie Barbara Weinstein e gettò il suo corpo dal 12° piano dell'appartamento in cui vivevano, confessando subito l’accaduto alla polizia. Successive analisi del suo cervello rivelarono la presenza di una voluminosa cisti cerebrale a livello del lobo frontale, che secondo la difesa avrebbe condizionato il comportamento aggressivo dell'uomo. Grazie alle prove ottenute tramite imaging cerebrale, l'accusa accettò un accordo con la difesa, ottenendo una riduzione della pena riclassificando il reato in omicidio colposo. Il caso fu un apripista all'impiego delle neuroscienze nel sistema giuridico, aprendo la strada a casi analoghi documentati anche in Italia.
Barbara Weinstein perse la vita precipitando dal suo appartamento: la ricostruzione dell’omicidio
New York, 7 gennaio 1991. Erano le 13:30 del pomeriggio quando la centrale di polizia di Manhattan ricevette una drammatica segnalazione: il corpo di Barbara Weinstein, 56 anni, si trovava senza vita sulla strada dopo essere precipitata dal 12° piano del suo appartamento sulla 72° Strada Est, vicino a Central Park. La dinamica dell'incidente lasciava presagire un suicidio. Eppure, nulla nella vita della donna sembrava giustificare una simile tragedia. Anni prima aveva sposato Herbert Weinstein, un ricco dirigente pubblicitario in pensione, con il quale formava, almeno all’apparenza, una coppia serena. Proprio l’uomo, alla notizia del tragico episodio, reagì con una calma quasi irriverente e, al momento dell’interrogatorio, svelò senza esitazione e con fare pacato l’atroce verità: Barbara non si era tolta la vita. Era stato lui a strangolarla e, dopo averla picchiata, a gettarla nel vuoto inscenando un suicidio.
La notizia sconvolse l’opinione pubblica. D’altronde, Herbert Weinstein era noto a tutti come un uomo affascinante, pacato e carismatico. Ma, soprattutto, era un inguaribile ottimista, sempre in grado di vedere “la ciambella piuttosto che il buco”, descritto dalla figlia come incapace di provare emozioni negative o ansia per il futuro. A questo comportamento insolito si accompagnavano un’assenza totale di empatia per le emozioni altrui e un cinismo spietato. Questi aspetti del suo carattere con il tempo si erano acuiti, al punto che nei mesi successivi all’omicidio l’atteggiamento di Herbert cominciò ad apparire irrimediabilmente inquietante. Durante gli arresti domiciliari, in attesa del processo, non mostrò alcun segno di pentimento per l’omicidio della moglie né di preoccupazione per il proprio destino. Anzi, colse l’occasione per rifarsi una vita sposando una donna conosciuta in quel periodo.
Il cervello di Herbert Weinstein in aula di tribunale: il processo
L’ammissione di Herbert Weinstein non lasciava spazio ad altre piste. L’uomo fu accusato di omicidio di secondo grado, cioè volontario, un reato punibile per legge con una condanna fino all'ergastolo. Eppure, Herbert continuava a non mostrare alcuna preoccupazione per il suo futuro, continuando ad affrontare la vita con il solito instancabile ottimismo e buon umore. Un comportamento così inappropriatamente calmo da risultare innaturale perfino agli occhi dei familiari. Fu proprio questa stranezza che spinse il suo avvocato a richiedere una perizia psichiatrica, una pratica comune nei casi giudiziari, spesso utilizzata dalla difesa per stabilire se un’alterazione della salute mentale possa influenzare il comportamento di un individuo e, di conseguenza, aprire la strada a una riduzione della pena.
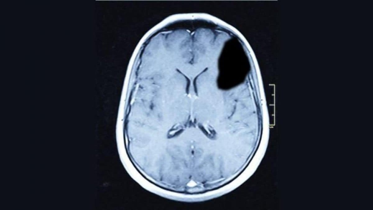
A differenza del passato, però, questa volta qualcosa era cambiato. Le neuroscienze e le tecniche di imaging cerebrale avevano raggiunto uno sviluppo tale da permettere un’analisi dettagliata del cervello, della sua struttura e attività metabolica. Weinstein fu quindi sottoposto ad esami di PET (tomografia a emissione di positroni) e risonanza magnetica (RM), che permettono rispettivamente di osservare la funzionalità e la struttura del cervello. I risultati furono impressionanti: il lobo anteriore sinistro era completamente coperto da una cisti dalle dimensioni di un’arancia, che ne aveva compromesso il normale funzionamento. Questa evidenza biologica era perfettamente coerente con il comportamento insolito esibito dall’uomo. Il lobo anteriore, infatti, svolge un ruolo cruciale nel controllo delle emozioni, nell’inibizione dell’impulsività e nelle capacità di giudizio (ovvero la capacità di valutare le situazioni, prendere decisioni consapevoli e prevedere le conseguenze delle proprie azioni), tutte funzioni evidentemente alterate in Weinstein.
Le prove neuroscientifiche ribaltarono completamente il verdetto. La difesa riteneva che la ridotta capacità di autocontrollo e il comportamento violento di Weinstein esibiti nell'episodio dell'omicidio fossero in parte indipendenti dalla sua volontà, essendo indotti dal deficit cerebrale. Questi argomenti sembravano talmente convincenti da spingere la difesa a stringere un accordo con l'accusa, accettando la riclassificazione dell'omicidio di Barbara da volontario a colposo, ottenendo una netto alleggerimento della pena. Alla fine, Weinstein scontò circa 12 anni di carcere, per poi essere rilasciato in libertà condizionata.

La nascita delle neuroscienze forensi e il caso italiano del “gene del guerriero”
L'omicidio di Weinstein è stato il primo caso negli Stati Uniti in cui un giudice ha accettato l'uso di prove di imaging cerebrale per giustificare il comportamento delittuoso di un imputato, segnando un apripista all'impiego delle neuroscienze in giurisprudenza. Da allora, infatti, prove neuroscientifiche sono state adottate con successo in numerosi casi per dimostrare l’infermità mentale degli imputati, permettendo loro di ottenere significativi sconti di pena. Un caso emblematico si è verificato in Italia nel 2009, quando la difesa di Abdelmalek Bayout riuscì a ridurre la condanna del proprio assistito grazie a una perizia neuroscientifica e a una prova genetica. L'uomo, condannato per omicidio, risultò infatti portatore di una particolare variante a bassa attività del cosiddetto "gene del guerriero" (MAOA, monoamino ossidasi di tipo A), un gene coinvolto nel metabolismo di neurotrasmettitori chiave nella regolazione del comportamento come dopamina, serotonina e noradrenalina. Studi condotti su modelli animali e sull’uomo avevano dimostrato che la variante a bassa attività di questo gene, soprattutto in individui con un vissuto difficile, era associata a una maggiore predisposizione a mostrare comportamenti impulsivi e violenti. Proprio questa prova genetica (accompagnata a una dettagliata perizia psichiatrica) fu la chiave per convincere il giudice a ridurre la pena assegnata a Bayout, posando una pietra miliare per l'uso delle neuroscienze e della genetica comportamentale nella pratica forense in Italia.